Vol. 9. Núm. 24.
Páginas 1601-1604 (Enero 2005)

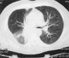
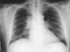
Varón de 64 años fumador con tos y expectoración hemoptoica de 2 meses de evolución

A Fernández-FreireaB Pérez ValderramaaM Valero Arbizua
Doi : https://10.1016/S0211-3449(05)73519-0

Opciones

Identifíquese

¿Aún no es suscriptor de la revista?

Comprar el acceso al artículo

Comprando el artículo el pdf del mismo podrá ser descargado

Teléfono para incidencias

De lunes a viernes de 9h a 18h (GMT+1) excepto los meses de julio y agosto que será de 9 a 15h

Llamadas desde España 932 415 960
Llamadas desde fuera de España +34 932 415 960
¿Es usted profesional sanitario apto para prescribir o dispensar medicamentos?