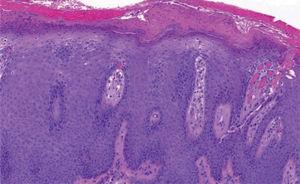
Las dermatosis eritematodescamativas son un grupo de enfermedades cutáneas caracterizadas por presentar eritema y descamación. Estas incluyen entidades como la psoriasis, la dermatitis seborreica y la pitiriasis rosada, entre otras, pudiendo variar en extensión y gravedad. La psoriasis es una enfermedad inflamatoria crónica inmunomediada que suele presentarse con placas bien delimitadas con escama gruesa, afectando a codos, rodillas, cuero cabelludo, uñas, genitales y zona palmoplantar. Por otro lado, la dermatitis seborreica se presenta en forma de placas descamativas amarillentas a nivel de zonas seborreicas. Por último, la pitiriasis rosada es una erupción aguda y autolimitada que se inicia con una placa eritematosa única en el tronco con descamación periférica, extendiéndose con múltiples placas en días o semanas después por el tronco. El diagnóstico diferencial se basa en características como: morfología, distribución, epidemiología, antecedentes personales y hallazgos histopatológicos, siendo entidades que se suelen diagnosticar por la clínica. La pitiriasis rosada es un cuadro autorresolutivo y la dermatitis seborreica será tratada en los brotes con tratamientos tópicos. En el tratamiento de la psoriasis se tiene en cuenta la gravedad de la enfermedad, optando por tratamientos tópicos en casos leves y por tratamientos sistémicos en casos moderados/severos.
Erythematosquamous dermatoses are a group of skin diseases characterized by erythema and scaling. These include conditions such as psoriasis, seborrheic dermatitis, and pityriasis rosea, among others. They can vary in extent and severity. Psoriasis is a chronic immune-mediated inflammatory disease that usually presents as well-defined plaques with thick scales, affecting the elbows, knees, scalp, nails, genitals, and palmoplantar area. On the other hand, seborrheic dermatitis presents as yellowish scaly plaques in seborrheic areas. Lastly, pityriasis rosea is an acute, self-limiting rash that begins with a single erythematous plaque on the trunk with peripheral scaling, spreading with multiple plaques on the trunk within days or weeks. The differential diagnosis is based on characteristics such as morphology, distribution, epidemiology, personal history, and histopathological findings. These conditions are usually diagnosed via symptoms. Pityriasis rosea is a self-resolving condition and seborrheic dermatitis is treated with topical treatments during flare-ups. In psoriasis treatment, disease severity is taken into account, opting for topical treatments in mild cases and systemic treatments in moderate/severe cases.
Identifíquese
¿Aún no es suscriptor de la revista?
Comprar el acceso al artículo
Comprando el artículo el pdf del mismo podrá ser descargado
Teléfono para incidencias
De lunes a viernes de 9h a 18h (GMT+1) excepto los meses de julio y agosto que será de 9 a 15h
